Sarkoidoza

Spis treści:

1. Wstęp

2. Jakie są przyczyny sarkoidozy?

3. Jak przebiega diagnostyka sarkoidozy?

4. Jakie są objawy sarkoidozy?

5. Jakie są metody leczenia sarkoidozy?

 

1. Wstęp

Sarkoidoza to choroba zapalna, która obejmuje wiele narządów w organizmie, ale przede wszystkim płuca i węzły chłonne. U chorych na sarkoidozę powstają nieprawidłowe twory, zwane ziarniniakami, zawierające tkanki objęte stanem zapalnym. Tworzące się ziarniniaki zaburzają strukturę i funkcjonowanie narządów. W około 90% przypadków sarkoidoza dotyczy płuc. Obraz kliniczny i ciężkość przebiegu choroby mogą być bardzo różne. W niektórych przypadkach choroba ustępuje samoistnie. U części chorych sarkoidoza utrzymuje się na stałym poziomie, u innych postępuje. Na sarkoidozę chorują ludzie w każdym wieku, najczęściej jednak dotyczy młodych dorosłych w wieku 20-40 lat. Szacuje się, że na świecie jest około 1,2 mln chorych na sarkoidozę.

 

2. Jakie są przyczyny sarkoidozy?

Dokładna przyczyna sarkoidozy nie jest znana. Być może ma podłoże autoimmunologiczne, czyli związane z nieprawidłową odpowiedzią układu odpornościowego.

 

3. Jak przebiega diagnostyka sarkoidozy?

Podczas pierwszej wizyty lekarz zbiera dokładny wywiad, przeprowadza badanie przedmiotowe i decyduje o wykonaniu badań dodatkowych. Do najczęściej zlecanych badań przydatnych w diagnostyce sarkoidozy należą:

  • zdjęcie rentgenowskie klatki piersiowej – pozwala wykryć zmiany w płucach lub węzłach chłonnych

  • tomografia komputerowa – umożliwia dokładniejsze zobrazowanie płuc i węzłów chłonnych niż zdjęcie rentgenowskie

  • badania czynnościowe układu oddechowego

  • bronchoskopia – umożliwia zbadanie oskrzeli oraz wykonanie biopsji – czyli pobranie fragmentu tkankowego do badania mikroskopowego

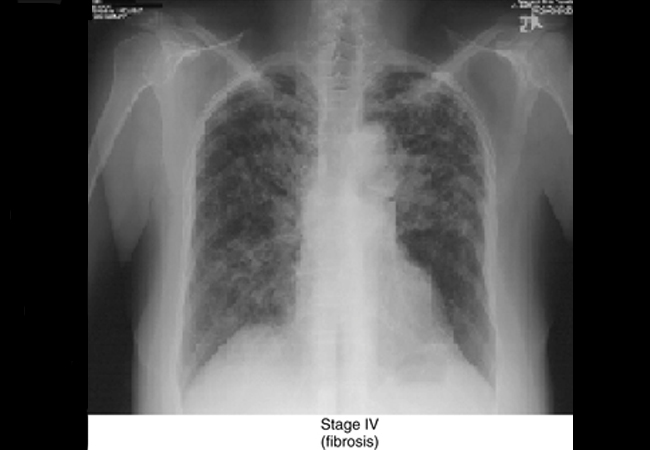
Zdjęcie rentgenowskie przedstawiające włóknienie płuc w przebiegu sarkoidozy

 

4. Jakie są objawy sarkoidozy?

Objawy sarkoidozy zależą od tego, który narząd jest objęty chorobą. Do najczęstszych objawów należą:

  • zmęczenie

  • podwyższona temperatura ciała

  • powiększenie węzłów chłonnych

  • spadek masy ciała

  • ból i obrzęk stawów

  • przewlekły suchy kaszel

  • duszność

  • ból w klatce piersiowej

  • zmiany skórne, takie jak: rumień guzowaty, owrzodzenia, odbarwienia lub zaczerwienienie skóry, grudki i guzki w obrębie starych blizn

  • objawy ze strony gałek ocznych: nieostre widzenie, ból, pieczenie, świąd, zaczerwienienie oczu, nadwrażliwość na światło

  • kołatanie serca

  • nieregularny rytm serca

 

5. Jakie są metody leczenia sarkoidozy?

Nie ma leczenia przyczynowego sarkoidozy, ale na szczęście w części przypadków choroba ustępuje samoistnie. W leczeniu stosuje się środki farmakologiczne oraz zaleca się modyfikację stylu życia. Najczęściej stosowanymi lekami są kortykosteroidy, które pozwalają zmniejszyć dolegliwości takie jak zmęczenie i kaszel. Do innych stosowanych leków należą m.in.: metotreksat, hydroksychlorochina.

Chorym zaleca się zdrowy tryb życia, uwzględniający:

  • regularne kontrole u lekarza

  • zbilansowaną dietę bogatą w owoce i warzywa

  • przyjmowanie odpowiedniej ilości płynów

  • spanie 6-8 godzin dziennie

  • regularny wysiłek fizyczny

  • utrzymywanie odpowiedniej masy ciała

  • rzucenie palenia papierosów

 

Jeżeli występują u Ciebie objawy przypominające sarkoidozę, koniecznie skonsultuj się ze specjalistą reumatologiem z naszej placówki, by postawić właściwą diagnozę i szybko rozpocząć leczenie.

 

tick-image